
Gallery Case 1
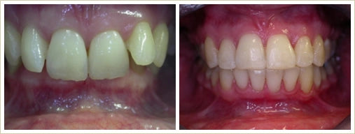
Since closing the gap between his front teeth, Mark smiles freely and confidently. What once made him hesitate is now a source of ease and self-assurance, bringing a noticeable positive change to his everyday life.
Orthodontic treatment duration: 6 months

Gallery Case 2
Raphael presented with severe dental crowding, which was successfully corrected without extracting any permanent teeth. Crowding does not always mean extractions are necessary — careful consideration of jaw growth and facial development is essential. By using gentle, child-friendly archwires to guide both teeth and bone development, a harmonious, stable smile was achieved, with long-term benefits for Raphael as he grows into adulthood.
BOOK AN APPOINTMENT
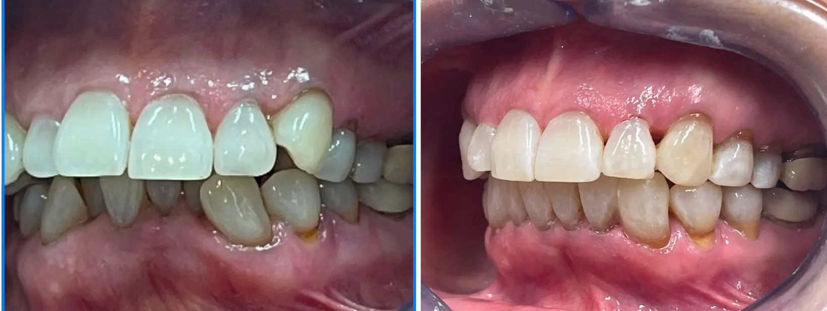
Gallery Case 3
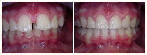
Louise wanted only to straight her lower front teeth.
Rrthodontic treatment duration: 6 months
BOOK AN APPOINTMENT
Gallery Case 4
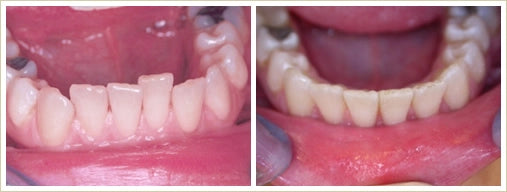
Ruby is a beautiful young woman who felt embarrassed to smile and was beginning to experience discomfort when eating, as her lower teeth were biting into her upper gum. After 18 months of orthodontic treatment, Ruby regained confidence in her smile while also protecting the long-term health of her teeth and gums.
BOOK AN APPOINTMENT
Gallery Case 5
Laura presented with a Class II Division 1 malocclusion, with a significant discrepancy between the upper and lower jaws. By carefully guiding and stimulating the growth potential of the lower jaw during childhood, it was possible to correct this imbalance and restore a more harmonious, functional relationship between the two arches.
BOOK AN APPOINTMENT
Gallery Case 6
Eleonor presented with a crossbite, where the upper teeth were positioned behind the lower teeth, along with spacing caused by undersized lateral incisors. Through Invisalign treatment, her teeth were aligned and the crossbite corrected. To complete the result, aesthetic composite bonding was used on the lateral incisors — without any drilling — restoring proper bite function and creating a beautifully balanced smile.
BOOK AN APPOINTMENT
Gallery Case 7
For Anup, expansion of the upper arch was essential to correct a severe anterior open bite. Invisalign treatment allowed controlled expansion, as the aligners glide smoothly over the teeth without unwanted contact interference. This approach made it possible to widen the arch efficiently while restoring proper bite function.
BOOK AN APPOINTMENT
Gallery Case 8
Anna is an adult patient with a significant discrepancy between the upper and lower arches. While orthognathic surgery to advance the lower jaw was an option, it was not a solution she wished to pursue. Through orthodontic treatment alone, her teeth were straightened and the discrepancy significantly reduced, resulting in a functional bite and a result Anna is very happy with.
BOOK AN APPOINTMENT
Gallery Case 9
Juan, an adult patient like Anna, presented with a discrepancy between the upper and lower arches. While surgical correction was an option, the aim of treatment was to stabilise his bite, straighten the teeth, and prevent further deterioration that could have led to a more severe discrepancy over time. Thanks to a relatively short orthodontic treatment, the progression of dental wear was stopped and long-term function preserved.
BOOK AN APPOINTMENT










